
The KneeBar® Procedure
The KneeBar® Procedure is a surgical technique for the management of subchondral insufficiency fracture of the femur and tibia, utilizing the bio-integrative OSSIOfiber® 4.0mm Cannulated Trimmable Fixation Nail (CTFN).

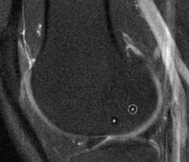
Pre-Op MRI

6 Months Post-Op MRI

OSSIOfiber®
Save the Knee
Learn more about how Brian Cole, MD and Armando Vidal, MD are using the OSSIOfiber® CTFN to treat subchondral insufficiency fractures of the knee, in our Webinar moderated by Seth Sherman, MD.
Read the article
Biointegrative Nail Raftering Improves Pain and Function in Patients with Subchondral Insufficiency of the Knee
Download PDF