Skip to content

Fifth Metacarpal Fracture: Fast Rehab with Biointegrative OSSIOfiber® Fixation

← All Posts

INTRODUCTION

Metacarpal fractures are of the most common hand injuries, comprising between 18–44% of all hand fractures1,2. Among these, the fifth metacarpal neck fractures, also known as “boxer’s fractures”, are the most common, with an incidence ranging from 9.7 to 50 %, mainly observed in the dominant hand of young active men, typically a result of striking a solid surface with a clenched fist2,3. Most metacarpal fractures are treated with immobilization and graduated rehabilitation. However, certain characteristics, including malrotation, irreducibility, multiple metacarpal fracture, open fracture, polytrauma, segmental bone loss, and articular involvement, require surgical intervention. Common operative techniques to the fixation of these fractures involve percutaneous pinning with Kirschner wires (K-wires), lag or interfragmentary screws, plate fixation, intramedullary screws (IMS) or external fixators. IMS fixation has emerged in recent years as a safe and minimally invasive surgical technique, yielding promising clinical outcomes regarding union and complication rates, early postoperative motion and total active motion (TAM)4,5.

CASE PRESENTATION

A 50-Year-old, right hand dominant male patient (5’ 7”, weighing of 170 Lbs).

Punched door with right hand, with immediate onset pain and deformity to the 5th metacarpal.

There was swelling and tenderness at the 5th metacarpal and ecchymosis compared to the contralateral side. Significant flexion deformity and prominent spike noted dorsally. There was extension lag noted but intact Flexor Digitorum Superficialis (FDS) and Flexor Digitorum Profundus (FDP) firing.
Proximal Interphalangeal (PIP) and Distal Interphalangeal (DIP) joints were benign. Sensation and motor function were intact in the radial, ulnar, and median nerves distribution. The skin was intact throughout.

WHY OSSIOfiber® IS AN IDEAL CHOICE FOR THIS PATIENT?

Biointegrative implants enable rapid return to function with no need for implant removal, or risk of repeat surgical intervention.

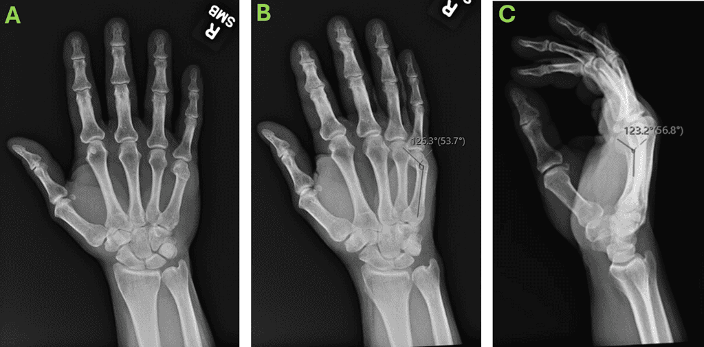
Pre-Operative X-Rays Showing 5Th Metacarpal Neck Fracture: Ap [A] Oblique [B] And Lateral [C]
Figure 1: Pre-operative X-rays showing 5th metacarpal neck fracture: AP [A] Oblique [B] and Lateral [C]

Percutaneous intramedullary fixation of the 5th Metacarpal neck fracture.

Measurement of the X-rays determined appropriate canal fit for the OSSIOfiber® 4.5 Threaded Trimmable Fixation Nail (TTFN).

The following OSSIOfiber® fixation implants were used:

  1. Dissection/Access: The affected extremity was exsanguinated with an Esmarch bandage, and the pneumatic tourniquet was inflated.
    Local anesthetic was used to infiltrate the surgical area (mixture of 1% lidocaine and 0.5% bupivacaine).
    The fracture was persuaded to the normal anatomic alignment using manual pressure and JAAHS maneuver.
  2. Fixation site preparation: After achieving anatomical acceptable reduction, image intensification was used to confirm alignment. Next, a guidewire was used to cannulate the metacarpal shaft in a retrograde fashion percutaneously. A longitudinal stab incision with a 15 blade was created next to the wire.
  3. Tunnel preparation: The provided drill-bit was used to prepare the canal. The screw length was measured under fluoroscopy using the screwdriver. The OSSIOfiber® 4.5X70mm TTFN was then trimmed to the measured length (subtracting 2mm for subchondral position), cut using bone cutters and sharpened with the supplied sharpener.
  4. Implant insertion: The OSSIOfiber® TTFN was placed over the guidewire on the dorsal aspect of the distal metacarpal in retrograde fashion. Excellent compression was noted across the fracture site and alignment was confirmed with image intensification.
  5. Closure: At this point, the pneumatic tourniquet was released. The skin was closed with Dermabond skin glue with no sutures. No splint or dressings were applied.
  • Screwdriver can be used for measuring implant length (alternative to sizing guide).
  • Percutaneous technique does not require incision (just enough to clear the drill).
  • Early range of motion (ROM) is paramount for optimal recovery.
  • No postop rigid immobilization given
  • Partial weight bearing/gripping: 2lbs until week 4
  • Full weight bearing/gripping: After week 4
  • Hand Occupational therapy (OT) started 10 days postop
  • Impact (punching or using impact tools) not allowed for 10 weeks.

Patient regained full ROM by the first post operative visit at 10 days. No pain meds needed. Patient presented excellent grip strength at 4 weeks. Due to immediate excellent stability and rotation control, no splint given, protected for 4 weeks to 2lbs but no restriction after 4 weeks (normally restriction until 6-8 weeks post ORIF needed).

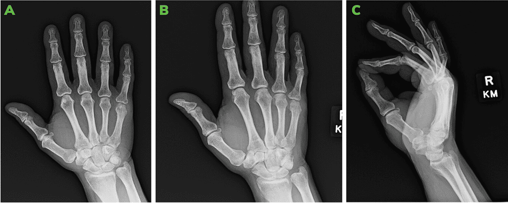
First Post-Operative X-Rays At 10 Days: Ap [A], Oblique [B] And Lateral [C].
Figure 2: First post-operative X-rays at 10 days: AP [A], Oblique [B] and Lateral [C].
4-Weeks Post-Operative X-Rays: Ap [A], Oblique [B] And Lateral [C] Views.
Figure 3: 4-weeks post-operative X-rays: AP [A], Oblique [B] and Lateral [C] views.

The OSSIOfiber® Threaded Trimmable Fixation Nail allows patients to return to full activities much sooner compared to common metal screws. While restricted activity for 6-8 weeks post ORIF is usually needed, when using the OSSIOfiber® nail, by 4 weeks full weight bearing with no restriction to load is already allowed due to the strong rotational support of the implant, with no splint or cast needed.

Enabling early ROM avoids adhesions and post-traumatic or postoperative stiffness.

  1. Kollitz, K. M., Hammert, W. C., Vedder, N. B. & Huang, J. I. Metacarpal fractures: treatment and complications. Hand 9, 16–23 (2014).
  2. Pogliacomi, F. et al. Fifth metacarpal neck fractures: fixation with antegrade locked flexible intramedullary nailing. Acta Bio Medica Atenei Parm. 88, 57 (2017).
  3. Congiusta, D., Chen, J., Rubinstein, A., Vosbikian, M. & Ahmed, I. Fifth Metacarpal Neck Fractures in the United States: Trends in Current Management. SurgiColl 1, (2023).
  4. George, A. R. et al. Metacarpal fracture fixation with intramedullary screws. J. Hand Surg. (Asian-Pacific Vol. 29, 217–224 (2024).
  5. Morway, G. R., Rider, T. & Jones, C. M. Retrograde intramedullary screw fixation for metacarpal fractures: a systematic review. Hand 18, 67–73 (2023).
Dr. Michael Rivlin

Michael Rivlin, MD, Rothman Institute of Orthopaedics, Philadelphia, PA

Dr. Michael Rivlin is an orthopaedic hand and wrist surgeon and microsurgeon, Chief of Orthopaedic Surgery at Jefferson Health New Jersey, and a recognized innovator shaping the future of upper extremity care. A fellowship-trained specialist from Harvard - Mass General, Dr. Rivlin combines advanced microsurgery, nerve reconstruction, and cutting-edge 3D printing techniques to redefine how hand injuries and complex reconstructions are treated. Through his research, teaching, and leadership at Rothman Orthopaedics, Dr. Rivlin continues to influence the next generation of surgeons and the evolution of modern hand surgery.

Interested in OSSIOfiber®?

Complete the form and an OSSIOfiber® Advisor will get in touch.

Customer Service

For product inquiries or purchasing questions contact 833-781-7373 or email info@ossio.io

Address

Commercial Headquarters

OSSIO Inc
300 Tradecenter Drive, Suite 3690
Woburn, MA, 01801

Science & Manufacturing Center

OSSIO Ltd.
8 HaTochen Street
Cesarea, Israel 3079861

OSSIOfiber® has been used by surgeons across the US

Footnotes

1. Data on file at OSSIO 2. Clinical study data on file at OSSIO 3. Kaiser, P.B., Watkins, I., Riedel, M. D., Cronin, P., Briceno, J., Kron, J. Y. (2019). Implant Removal Matrix for the Foot and Ankle Orthopaedic Surgeon. Foot & Ankle Specialist, 12(1), 79-97. https://doi.org/10.1177/1938640018791015 4. Pre-clinical animal studies (in-bone implantation of OSSIOfiber® and PLDLA control in rabbit femurs). Data on File at OSSIO. 5.Haddad, S. F., Helm, M. M., Meath, B., Adams, C., Packianathan, N., & Uhl, R. (2019). Exploring the Incidence, Implications, and Relevance of Metal Allergy to Orthopaedic Surgeons. Journal of the American Academy of Orthopaedic Surgeons. Global research & reviews, 3(4), e023. https://doi.org/10.5435/JAAOSGlobal-D-19-00023